|
Es folgen Bilder, die dem
Makrokonverter aufgenommen wurden
Zum Vergleich der
Auflösung, die mit meinem einfachen Scanner (1200 DPI) erreichbar ist
und der Auflösung einer Nikon Coolpix 990 mit einfachem Makrokonverter
wurden die gescannten Motive noch einmal "unter die Lupe" genommen.
|
|
|
5 DM Münze
|
|
|
|
50 € Schein
|
|
|
|
50 € Schein
|
|
|
|
50 € Schein
|
|
|
Die folgenden Motive waren durch die kalte Jahreszeit leider sehr
eingeschränkt. Eine Fliege oder Mücke lässt sich nicht blicken und es waren
auch keine frischen Blüten aufzutreiben. Ein paar lohnende Motive lassen
sich trotzdem immer finden.
|
|
|
Efeu
|
|
|
|
Heidekraut
|
|
|
|
Strauchbasilikum
|
|
|
|
Hyazinthe
|
|
|
|
|
Lavendel
|
|
|
|
Salbeiblatt
|
|
|
|
Flechte
|
|
|
|
Muschelsand
|
|
|
|
|
Haushaltszucker
|
|
|
|
Kugelschreiber
|
|
|
|
Quarz
|
|
|
|
Kräuter der Provence
|
|
|
|
|
Taschenuhr
|
|
|
|
Taschenuhr
|
|
|
|
Taschenuhr
|
|
|
|
Taschenuhr
|
|
|
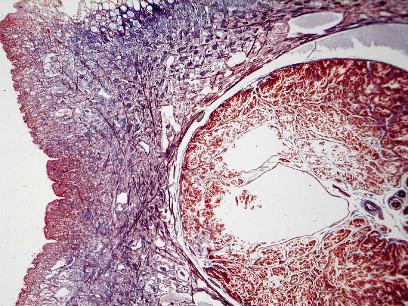
In den nachfolgenden
Bildern wurde der Versuch unternommen, gefärbte mikroskopische Präparate zu
fotografieren. Sie wurden auf den Objekttisch gelegt, der eine Öffnung
aufweist und von unten diffus beleuchtet. Dazu wurde ein Stück von einem
weißen Papier schräg darunter gehalten und seitlich mit einer Tischlampe
angestrahlt. Bei der erforderlichen geringen Beleuchtungsapertur kommt man
ohne Kondensor aus.
|
|
|
Fliegenkopf
|
|
|
|
Schlammschnecke
|
|
|
|
Regenwurm
|
|
|
|
Wasserfloh Daphnia
|
|
|
Die Bilder sind Ausschnittvergrößerungen
aus den Originalen. Der sichtbare Ausschnitt im Bild des Regenwurms besitzt
im Original eine Breite von etwa 5mm. Auf meinem 19''-Bildschirm wird es mit
einer Breite von 23 cm, also 46 mal so groß, wiedergegeben.
In den meisten Fällen gelingt mit dem vorgestellten Makrokonverter die
Fotografie lebender Tiere in der Natur nicht. Die Gegenstandsweite ist klein
und die Schärfentiefe extrem gering. Hier ist eine Mücke abgelichtet, die
sich äußerst entgegenkommend verhielt:
Zum Schluss folgt noch ein Beispiel eines Stapels aus 4 Schärfeebenen, die
zu einem Bild kombiniert wurden:
|
|
|
1. Ebene
|
|
|
|
2. Ebene
|
|
|
|
3. Ebene
|
|
|
|
4. Ebene
|
|
|
|
Kombination
|
|
|
|